Chân răng bị mục chủ yếu xảy ra do thói quen vệ sinh răng và ăn uống không lành mạnh. Tình trạng này không chỉ gây đau nhức mà còn có thể kéo theo nhiều vấn đề sức khỏe khác. Đây là triệu chứng cảnh báo cấu trúc răng đã xuống cấp trầm trọng. Vì vậy, việc chữa trị, can thiệp phục hình khi có dấu hiệu mục chân răng là cực kì cần thiết.
Chân răng bị mục là gì? Do nguyên nhân nào gây nên?
Chân răng bị mục là tình trạng cấu trúc răng bị phá hủy nghiêm trọng. Vấn đề này đến từ nhiều nguyên nhân, trong đó phổ biến nhất là thói quen vệ sinh, ăn uống không lành mạnh.
Một số nguyên nhân chủ yếu dẫn đến mục chân răng:
- Sâu răng nghiêm trọng: Sâu răng giai đoạn nặng khiến tủy răng bị nhiễm trùng, lúc này khách hàng sẽ có cảm giác đau nhức tại nướu và chân răng, sau đó chân răng sẽ bị mục dần.
- Tích tụ nhiều vôi răng: Điều này khiến vi khuẩn trong vôi răng tấn công và hủy hoại men răng, làm chân răng mòn đi, răng ngày càng yếu.
- Vệ sinh răng sai cách: Chải răng quá mạnh sẽ làm tốc độ bào mòn chân răng tăng lên. Không thường xuyên vệ sinh răng cũng tạo điều kiện cho vi khuẩn phát triển trong miệng, tạo mảng bám dính khiến men răng mòn đi.
- Thói quen ăn uống thiếu khoa học: Ăn quá nhiều đồ ngọt, ăn nhiều thực phẩm cứng khiến men răng bị nứt vỡ. Hay khẩu phần ăn có nhiều thực phẩm mang tính axit như chanh, cam, nước có gas,… cũng làm răng bị bào mòn.

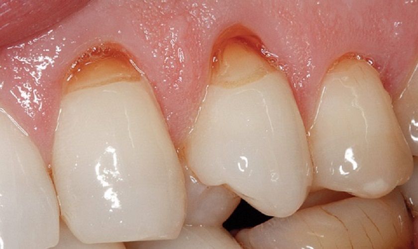
Dấu hiệu nhận biết chân răng bị mục
Một số dấu hiệu nhận biết mục chân răng:
- Răng nhạy cảm, ê buốt, đau nhức, nhất là khi ăn các đồ ăn lạnh hoặc nóng.
- Có lỗ hổng ở trên răng, màu răng thay đổi, ngả vàng, đen hoặc nâu.
- Hơi thở có mùi hôi khó chịu, khoang miệng có mùi vị lạ kể cả lúc không ăn gì.
- Răng nướu sưng tấy, có thể chảy mủ, chân răng lung lay, suy yếu và rất dễ gãy.
Tuy nhiên, một số trường hợp lỗ sâu răng ở tận sâu phía trong rất khó phát hiện, do vậy bạn nên đi khám răng định kì để phát hiện và xử lý các vấn đề răng miệng.

Biện pháp khắc phục khi chân răng bị mục
Tùy vào mức độ mục chân răng mà bác sĩ sẽ tư vấn cho bạn biện pháp chữa trị phù hợp. phương pháp khắc phục khi chân răng bị mục theo mức độ từ nhẹ đến nặng cụ thể như sau:
Khắc phục chân răng bị mục mức độ nhẹ
Trường hợp răng vẫn còn có thể bảo tồn thì chân răng bị mục được xử lý bằng biện pháp sau:
- Trám răng: Thực hiện trám lỗ sâu nếu phần răng bị mục chưa lan vào tủy răng. trường hợp tủy răng đã bị viêm thì cần lấy tủy trước sau đó mới trám răng.
- Bọc sứ: Khi lỗ mục chân răng quá lớn thì kỹ thuật bọc răng sứ sẽ được bác sĩ chỉ định.

Khắc phục chân răng bị mục mức độ nặng
Trường hợp chân răng bị mục nặng, không thể điều trị bảo tồn thì biện pháp duy nhất để khắc phục chính là nhổ bỏ răng hỏng và trồng lại răng giả. Thay thế răng mất bằng cấy ghép Implant sẽ là biện pháp phục hình răng hiệu quả nhất.
Tìm hiểu thêm: Răng nhổ rồi có mọc lại không? 3 phương pháp phục hình hiện nay
Tại sao mất răng do mục chân răng nên cấy ghép Implant?
Hiện nay, cấy ghép Implant được đánh giá là biện pháp phục hình răng đem lại hiệu quả toàn diện nhất. trụ chân răng sẽ được cấy trực tiếp vào trong xương hàm, gắn răng sứ lên trên và bạn sẽ có một chiếc răng mới vững chắc. kỹ thuật này sẽ cho bạn cảm giác ăn nhai giống như răng thật và duy trì hiệu quả lâu dài về sau.
Một số lợi ích nổi bật mà cấy ghép Implant mang lại:
- Phục hình đầy đủ cấu trúc răng đã mất, bao gồm cả chân răng và thân răng.
- Cảm giác ăn uống, nhai cắn giống như răng tự nhiên.
- Giá trị thẩm mỹ cao.
- Tính tương thích sinh học cao, áp dụng được cho nhiều tình huống mất răng.
- Quá trình phục hình không gây ảnh hưởng tới các răng bên cạnh.
- Bảo tồn kết cấu của xương hàm, ngăn tình trạng tiêu xương, tụt nướu xảy ra.

Để tránh các hậu quả nặng nề như mất răng vĩnh viễn, bạn nên đi khám răng định kì, tới gặp bác sĩ ngay khi nhận thấy các dấu hiệu nghi ngờ chân răng bị mục để kịp thời xử lý. Khi cần tư vấn, hỗ trợ, bạn hãy liên hệ với Nha khoa Implant Center nhé.



